MP denuncia médico após paciente precisar amputar perna em Morrinhos

Segundo o relatório feito pelo órgão, Maria Helena teria feito um cirurgia para tratar problemas nas veias das pernas Ministério Público do Estado de Goiás (MPGO) denunciou o médico Benedito Alves Moreira por ofensa a integridade corporal ou a saúde da dona de casa Maria Helena dos Santos, de 60 anos. Ela precisou amputar a perna direita após uma cirurgia realizada por ele, em Morrinhos, na região sul de Goiás. Segundo o relatório feito pelo órgão, Maria Helena teria feito um cirurgia para tratar problemas nas veias das pernas. No entanto, o profissional teria errado e dilacerado a principal artéria do membro da dona de casa, o que causou uma série de complicações. O promotor responsável pelo caso, Guilherme Vicente de Oliveira, aponta que o médico deve ser responsabilizado pelos danos causados à vítima. Além disso, solicitou que a Justiça determine indenização para compensar os prejuízos sofridos pela dona de casa. Se a denúncia for acatada pelos órgãos responsáveis, o homem pode ser preso e cumprir pena que varia de três meses a um ano pelos crimes de ofensa à integridade corporal ou saúde. A defesa do hospital onde ocorreu a cirurgia declarou que aguarda a realização da perícia médica, na qual será possível verificar e apurar as causas motivadoras da amputação.
Fundeinfra: pavimentação da GO-219 é iniciada entre São Miguel do Passa Quatro e Orizona

iniciaram os trabalhos de pavimentação da GO-219, entre São Miguel do Passa Quatro e o distrito Egerineu Teixeira, em Orizona, Sul do estado. Ao todo, a obra contempla segmento 33 quilômetros de rodovia que recebem, atualmente, várias frentes de serviços simultâneas, como limpeza, implantação de dispositivos de drenagem, terraplenagem e serviços de topografia. As intervenções são supervisionadas pela Agência Goiana de Infraestrutura e Transportes (Goinfra) e recebem investimento de R$ 78 milhões. Os recursos são advindos do Fundo Estadual de Infraestrutura (Fundeinfra), via pela Secretaria de Estado de Infraestrutura (Seinfra). Em visita técnica realizada realizada nesta sexta-feira (14/6), o presidente da autarquia, Santos Filho, constatou que as obras avançam rapidamente. “Estamos contentes com a execução da obra. A mobilização, que envolve a quantidade e a qualidade dos maquinários e das equipes trabalhando em etapas cruciais do empreendimento, refletem em um horizonte favorável para o bom andamento da obra”, disse o gestor. O empreendimento faz parte de um extenso pacote de infraestrutura, que soma R$ 17 bilhões previstos em obras no estado até 2027. A pavimentação da GO-219 fortalecerá o escoamento das produções do agronegócio e a interligação com o Distrito Federal. “É mais uma obra do Fundeinfra que chega ao trecho, mais uma rota estratégica para os produtores, que estão vendo a sua contribuição ao fundo se transformar em obras que ampliam a competitividade logística do Estado”, ressaltou o secretário da Infraestrutura, Pedro Sales. A pavimentação da rodovia, aguardada há décadas, ainda garantirá melhores condições de trafegabilidade e segurança aos condutores. “A nossa missão é integrar e desenvolver cada vez mais o nosso estado, fornecendo conforto, segurança e qualidade em nossa malha estadual”, conclui o presidente da Goinfra, Santos Filho.
COD apreende 7,5 mil maços de cigarro em ação no Sul de Goiás

Motorista foi multado e teve que pagar ICMS. Total de encargos chega a R$ 20 mil Militares do Comando de Operações de Divisas (COD) apreenderam, nesta sexta-feira (14/6), 7,5 mil maços de cigarro sem nota fiscal. A carga foi detectada após abordagem a um veículo durante operação no Sul Goiano. O município onde a ação ocorreu não foi revelado. De acordo com a corporação, o carro estava repleto de cigarros de marcas nacionais e outros produtos de tabacaria. Todos os itens estavam sem documentação que comprovasse a origem lícita dos produtos. O motorista, 46, foi encaminhado junto com o material para o Posto Fiscal da Secretaria de Economia em Itumbiara, onde foi cobrado em R$ 20 mil por multa e Imposto sobre Circulação de Mercadorias e Serviços (ICMS). O prejuízo estimado pelo COD para a ação criminosa foi de R$ 52 mil.
Caçu: PC fecha casas de prostituição e prende quatro pessoas por exploração sexual

Mulheres seriam donas dos locais; o homem, gerente de um dos prostíbulos Em Caçu, a Polícia Civil (PC) fechou três casas de prostituição e prendeu quatro pessoas durante ação contra exploração sexual de mulheres e menores, bem como tráfico de drogas. De acordo com a corporação, dos detidos, três mulheres seriam proprietárias dos estabelecimentos, e um homem, gerente de um deles. A ação ocorreu nesta quinta-feira (13/6). A PC apurou que os locais eram mantidos para explorar mulheres de outras cidades e estados do país. Os locais também serviriam para a venda de entorpecentes e a exploração de adolescentes. LEIA TAMBÉM: Caseiro é preso suspeito de furtar e revender gado de patrões em Goiás Diante disso, as três casas de prostituição foram fechadas. Os locais foram periciados pela Polícia Científica, apresentando características claras de ambientes mantidos para a exploração sexual. Nos locais há disponibilidade de quartos e a coleta de parte dos lucros dos programas pelas donas dos estabelecimentos, o que é ilegal. Durante o cumprimento dos mandados de busca e apreensão, foi confirmada a prática dos crimes relacionados à exploração sexual.
Incêndio em garagem destrói ao menos 8 ônibus em Goiânia

Combate conseguiu evitar que o fogo se alastrasse para imóveis vizinhos Um incêndio ocorrido na noite desta quinta-feira (13/6) deixou ao menos 8 ônibus destruídos em uma garagem situada na Avenida Rezende, Bairro São Francisco, em Goiânia. O Corpo de Bombeiros Militar (CBM) foi acionado para o combate às chamas. Equipes compareceram com 10 viaturas, que utilizaram 25 mil litros de água para conter o fogo e evitar que as labaredas se alastrassem para imóveis vizinhos. Ninguém se feriu. As causas do incêndio serão investigadas.
Três irmãos são presos suspeitos de venderem drogas em Aparecida de Goiânia

Polícia chegou ao trio após denúncias que relatavam que uma residência, situada no Jardim Tiradentes, era usada como ponto de venda de entorpecentes no varejo A Polícia Civil prendeu três irmãos, dois homens e uma mulher, suspeitos de tráfico e associação para o tráfico de drogas ilícitas, em Aparecida de Goiânia. O trio foi detido na quarta-feira (12), durante a Operação Delfiori, deflagrada pelo Grupo Especial de Investigações Criminais (Geic) do município. Segundo a polícia, foi possível chegar aos irmãos depois de denúncias pelo 197. Nestas ligações, os denunciantes relataram que uma residência, situada no Jardim Tiradentes, era usada como ponto de venda de drogas no varejo. Os principais “produtos” eram maconha e crack. Ainda na denúncia, foi relatado que a mulher vendia as drogas na presença de seu filho, de 4 anos. Conforme apurado, o fornecedor seria o irmão mais velho dela, que possui uma distribuidora de bebidas naquele bairro, em Aparecida. Inclusive, na rede social do estabelecimento existiam comentários sobre a venda de uma “droga boa” e que o proprietário tinha vínculo com uma organização criminosa com atuação em Goiás. Com as informações, os policiais realizaram diligências que resultaram na prisão em flagrante do trio por tráfico de drogas e também por adulteração de sinal de veículo automotor. No local, os agentes também apreenderam porções de crack, cocaína e maconha; apetrechos para manuseio, embalo e comercialização dos entorpecentes; quatro aparelhos celulares; duas motocicletas com sinais identificadores adulterados e dinheiro em espécie. As identidades dos suspeitos não foram reveladas. Além disso, a corporação também não informou sobre o destino da criança.
Suposta vítima de falso advogado de Goiânia está desaparecida desde 2022, diz família

Somente nesta semana, 11 pessoas já denunciaram à Polícia Civil terem sido vítimas do Caçador,… Somente nesta semana, 11 pessoas já denunciaram à Polícia Civil terem sido vítimas do Caçador, Atirador e Colecionador (CAC) Alisson Beserra Santos, de 41 anos, que foi preso na última sexta-feira (07/6), acusado de se passar por advogado para aplicar golpes em Goiânia. Durante as investigações, a polícia descobriu também que um ex-funcionário do suspeito sumiu há quase dois anos, depois de ser ameaçado, e espancado por ele. Familiares de um homem que hoje tem 50 anos foram quem, após acompanharem o noticiário, procuraram o 4º Distrito Policial de Goiânia, e contaram que Junio Mendes de Freitas, desapareceu no final de 2022, após ser ameaçado, e espancado por Alisson Beserra. Em 2018, contaram os parentes, Junio abriu uma empresa de eletrônicos que alguns anos depois foi tomada pelo falso advogado, que também passou a lhe cobrar por uma suposta dívida. Além de ser obrigado a trabalhar de graça para o falso advogado, Junio, relataram, também era ameaçado diariamente para que quitasse o débito, tento sido espancado com um taco de beisebol e com cintos em pelo menos duas oportunidades, em 2022. Na última vez em que chegou com hematomas em casa, Junio teria tido a familiares que ia suimr pois estava com medo de que Alisson fizesse mal à ele, ou a seus familiares. “As denúncias são muito graves, e todas registradas pela família com fotos, por isso decidimos divulgar a imagem e identidade dessa pessoa para que, caso alguém o tenha visto que nos comunique. Ou se ele mesmo ver isso, que apareça para prestar esclarecimentos”, solicitou o delegado Daniel Oliveira, do 4º DP. As denúncias de que o desaparecido teria sido agredido com um taco de beisebol, acredita o delegado, são verdadeiras, já que o equipamento desportivo aparece em uma das postagens, no pub pertencente à Alisson. O taco, porém, não foi localizado pela polícia, que na semana passada apreendeu uma granada, dois fuzis, duas carabinas, três pistolas, munições, e vários carregadores na casa, e no pub do falso advogado. As vítimas que estiveram esta semana no 4º DP fizeram relatos semelhantes à polícia, de que receberam vários cheques sem fundos, e que eram ameaçados por Alisson, quando o procuravam para receber os valores. Uma das vítimas entregou um vídeo ao delegado onde o falso advogado xinga, ameaça, e manda ele sair da residência. “As denúncias são muito graves, e todas registradas pela família com fotos, por isso decidimos divulgar a imagem e identidade dessa pessoa para que, caso alguém o tenha visto que nos comunique. Ou se ele mesmo ver isso, que apareça para prestar esclarecimentos”, solicitou o delegado Daniel Oliveira, do 4º DP. As denúncias de que o desaparecido teria sido agredido com um taco de beisebol, acredita o delegado, são verdadeiras, já que o equipamento desportivo aparece em uma das postagens, no pub pertencente à Alisson. O taco, porém, não foi localizado pela polícia, que na semana passada apreendeu uma granada, dois fuzis, duas carabinas, três pistolas, munições, e vários carregadores na casa, e no pub do falso advogado. As vítimas que estiveram esta semana no 4º DP fizeram relatos semelhantes à polícia, de que receberam vários cheques sem fundos, e que eram ameaçados por Alisson, quando o procuravam para receber os valores. Uma das vítimas entregou um vídeo ao delegado onde o falso advogado xinga, ameaça, e manda ele sair da residência. Alisson Beserra teve sua prisão preventiva decretada nesta semana, e segue encarcerado. A defesa do falso advogado disse que só irá se pronunciar, após a conclusão do inquérito.
Vítima de falso confronto com PM diz que iria pegar um “trem” na sede do COD, em Goiânia

Os policiais foram presos em abril, mas acabaram soltos no últim dia 2 de junho Um vídeo mostra o momento em que uma das vítimas do falso confronto, no Setor Jaó, em Goiânia, diz que precisa ir na sede do Comando de Operações de Divisas (COD). O autônomo José Aquino Leite, de 40 anos, aparece em um carro dizendo que precisa ir ao local para pegar “um trem”. “Segunda-feira, o menino marcou 12h para ir pegar o trem lá no COD”, diz em um carro que transita pela Avenida Anhanguera, em Goiânia. O autônomo José Aquino Leite foi morto, junto com o corretor de veículos Marines Pereira Gonçalves, de 42, no 1º de abril, uma segunda-feira, em um confronto forjado por seis policiais do COD, no Setor Jaó. O local fica nas proximidades da sede do Comando em que eles são lotados. Policiais foram indiciados Os seis policiais foram indiciados pela Corregedoria da Polícia Militar de Goiás por simularam um confronto e executaram o autônomo Junio José Aquino Leite e o corretor de veículos Marines Pereira Gonçalves. Os policiais foram presos em abril, mas acabaram soltos no últim dia 2 de junho. Na última sexta-feira (7/6) a Polícia Técnico-Científica realizou a reconstituição do falso confronto. Os policiais militares estiveram no local, mas não participaram após decisão judicial. Na ocasião, os agentes afirmaram que a morte de suspeitos foi uma reação ao serem atacados com tiros, mas um vídeo, gravado pelo celular de um dos mortos, mostrou que a ação se tratou de uma execução, visto que as vítimas estavam desarmadas.
Homem é preso pela 9ª vez após furtar dois carros e uma moto em Caldas Novas, diz PM

Crimes ocorreram pouco depois do suspeito conseguir liberdade condicional Um homem foi preso pela nona vez após a suspeita de furtar dois carros e uma moto em Caldas Novas e Ipameri, segundo a Polícia Militar (PM) de Goiás. A data da prisão não foi divulgada, mas os crimes ocorreram no começo do mês de junho. Segundo a PM, o suspeito tinha conseguido, recentemente, liberdade condicional. Ele, então, furtou uma caminhonete em Ipameri e outra em Caldas Novas. Neste último município, ele também subtraiu uma motocicleta. Com auxílio da inteligência da corporação, a Polícia Militar de Caldas Novas prendeu o homem pela nona vez. Os veículos foram recuperados, no município. Detido, ele confirmou o crime. “[Intenção] era vir para Caldas Novas e não ficar a pé”, relatou. O suspeito foi identificado Bruno “Paçoca”, mas não teve o nome completo divulgado. Com isso, não conseguimos localizar a defesa do mesmo. Segundo a PM, todavia, ele deve retornar ao regime fechado.
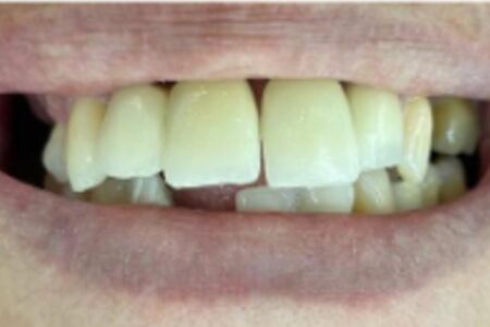
Justiça manda clínica odontológica indenizar paciente em R$ 60 mil após falhas em tratamento

Mulher disse que não estava satisfeita, mas odontólogo responsável teria afirmado que “não poderia fazer nada” Alessandra Gontijo do Amaral determinou que uma clínica odontológica indenize uma paciente por danos morais e materiais em R$ 60 mil devido a um tratamento de implantes dentários malsucedido. A decisão da magistrada da 19ª Vara Cível e Ambiental de Goiânia é do último dia 15 de maio. Consta nos autos que a paciente pagou R$ 10.680 pelo tratamento na clínica, em Goiânia. Contudo, durante os procedimentos, ela disse que não estava satisfeita com o resultado. Ao questionar o odontólogo responsável, ele teria dito que “não poderia fazer nada”. A paciente, então, diz ter tentado uma solução amigável com os responsáveis pelo tratamento e pediu um procedimento para corrigir as falhas ou a devolução do valor pago. Porém, a clínica negou. Em seguida, ela procurou outra profissional para uma avaliação, mas foi informada que a reversão da situação custaria R$ 49 mil. Advogado da paciente, Henrique Rodrigues explicou na peça que as próteses estavam em tamanhos desproporcionais para a colocação, sendo que algumas nem foram colocadas devido à dor que a mulher sentiu. “Algumas das próteses chegaram a cair, outras ficaram extremamente mal colocadas, movimentando de um lado para outro como se o dente estivesse mole a ponto de cair. Além da dor, ela passou a ter vergonha de sua aparência, com receio de sorrir.” Após audiência de conciliação, sem sucesso, a Justiça designou uma perícia, que apontou que as próteses foram feitas sobre “implantes anatomicamente desproporcionais (muito grandes)”. Conforme o laudo, a paciente tinha dificuldade para executar alguns movimentos mandibulares, mordida afetada, prejuízo e dificuldade na pronúncia de palavras que contêm fonemas labiais, além da estética comprometida. Na decisão, a juíza entendeu pela responsabilidade objetiva da clínica. “Demonstrada a falha no serviço prestado, no tocante aos implantes da autora, inafastável o dever de indenizar pelo constrangimento causado. Entendo que, de acordo com a prova técnica produzida no processo, houve a comprovação de conduta ilícita praticada pelos réus, o que enseja reparação civil”, escreveu na sentença. Também conforme a magistrada, “a má prestação de serviço que ultrapassou o mero aborrecimento, ante a frustração, angústia, dores e transtornos da autora, suportou e vindo a procurar por nova profissional para fazer orçamento sobre a correção/reparos nos implantes”. Ainda cabe recurso da decisão.